La sarcoidose appelée aussi Maladie de Besnier-Boeck-Schaumann est une malade inflammatoire systémique touchant préférentiellement les poumons mais pouvant toucher d'autres organes à savoir : la peau, le cœur, le système nerveux, les reins....

D'origine inconnue, elle toucherait aussi bien les hommes que les femmes entre 25 et 50 ans avec une certaine prédominance féminine. Selon une étude menée au détroit, la race ethnique serait la plus touché touchée.

Symptômes généraux :

Cette maladie entraîne souvent :

  • Sentiment de malaise général
  • Fatigue chronique
  • Perte d'appétit et parfois de poids
  • Présence de fièvre, sueurs nocturnes
  • L'atteinte des organes systémiques
  • Les yeux : troubles de la vision, uvéites à répétition
  • Les poumons : dyspnée, toux sèche persistante
  • Le coeur : arythmie cardiaque
  • Les glandes : adénopathies au niveau du cou
  • La peau : plaies sur les membres et peau cailleuse.

On distingue deux formes :

  • Une forme aiguë mais bénigne dont la guérison est spontanée de quelques semaines à quelques mois.

Une forme chronique dont l’évolution dure plusieurs années.

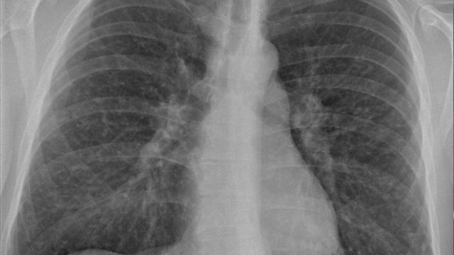
Comment reconnaît-on la sarcoidose?

Le diagnostic de sarcoidose est fondé sur les antécédents médicaux du sujet, l'examen physique, des tests de laboratoires, l'exploration fonctionnelle respiratoire et la radiographie thoracique, la tomodensitométrie et l'examen des yeux.

L'élimination des autres maladies dont les symptômes sont semblables et la biopsie d'un des organes atteints permettrait de confirmer le diagnostic.

Comment traiter et prévenir la sarcoidose ?

En l'absence de connaissances de causes, on traite les symptômes de la maladie. Le Traitement consiste à prévenir les complications éventuelles à savoir : l'attente cardiaque, du cerveau, des reins et des yeux avec des anti-inflammatoires non steroidiens.

Le traitement de ornière ligne consiste en l'administration de corticoïdes (20-40mg/jour) durant au moins une année sur une dose progressivement décroissante. Une supplemantuon en vitamine D devrait être évitée en raison du risque d'hypercalcémie. Ou alors elle devrait être envisagée dans des situations spécifiques. Quand ils deviennent impuissants, on prescrit les immunosuppresseurs. Lorsqu'un antimétabolite n'est pas toléré ou lorsque un réajustement thérapeutique s'impose en raison d'une réponse insuffisante, un anti-TNF-alpha est ajouté.

En cas d'atteinte pulmonaire avancée (stade IV), une transplantation pulmonaire sera envisagée.